Маленькие зубы: причины микродентии и способы коррекции

Маленькие зубы: причины микродентии и способы коррекции

Маленькие зубы — проблема, о которой пациенты нередко говорят с извинительной интонацией: «у меня зубы как у ребёнка» или «зубы слишком маленькие для моего лица». Кто-то живёт с этим годами, считая особенностью внешности, кто-то комплексует и избегает широко улыбаться. Между тем маленькие зубы — это не просто эстетическая особенность, а конкретное клиническое состояние, имеющее название, причины и способы коррекции. В этой статье подробно разберём, почему зубы бывают меньше нормы, какие виды этого состояния существуют и что современная стоматология может предложить для его исправления.

Что считается нормой и когда зубы считаются маленькими

Размер зубов определяется генетически и варьируется в широких пределах. Говорить о «маленьких зубах» как о патологии можно в нескольких ситуациях: когда зубы явно непропорционально малы относительно размера челюсти и лица, когда между зубами образуются промежутки из-за несоответствия размера зубов размеру зубного ряда, когда при улыбке видна непропорционально большая полоса десны, а также когда размер зубов значительно отличается от среднестатистических норм.

В стоматологии состояние, при котором один или несколько зубов имеют аномально маленький размер, называется микродентией. Это не просто описательный термин — это диагноз с конкретными причинами, классификацией и подходами к лечению.

Виды микродентии

Микродентия бывает нескольких видов в зависимости от того, сколько зубов затронуто и как соотносится их размер с размером челюсти.

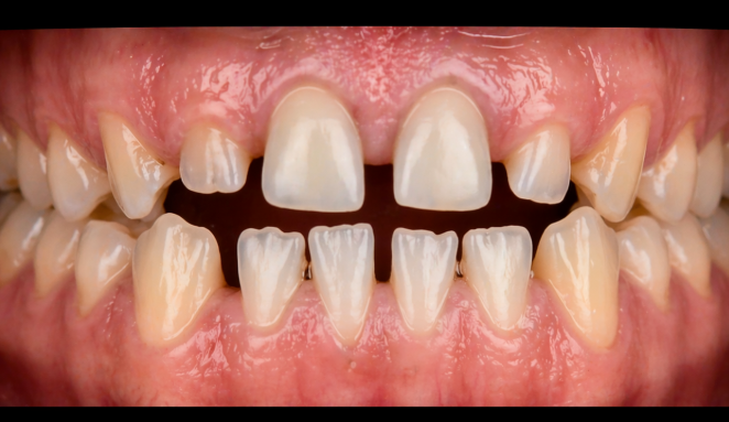
Локальная микродентия — уменьшен один или несколько зубов при нормальном размере остальных и челюсти. Наиболее часто встречается в области верхних боковых резцов, которые нередко имеют форму маленького конусовидного зуба — так называемого «зуба-колышка» или «зуба-шипа». Также локальная микродентия типична для зубов мудрости.

Относительная генерализованная микродентия — все зубы нормального размера, но челюсть слишком большая для них. В результате между зубами образуются промежутки — тремы и диастемы. Зубы выглядят маленькими на фоне широкого зубного ряда.

Истинная генерализованная микродентия — все зубы аномально малы в абсолютном выражении. Встречается редко, как правило в сочетании с системными заболеваниями или генетическими синдромами.

Причины маленьких зубов

Причины микродентии разнообразны. Понимание причины важно не только для правильного выбора метода коррекции, но и для прогноза: некоторые причины устраняемы, другие требуют лишь компенсации их последствий.

Генетические факторы

Наследственность — наиболее частая причина маленьких зубов. Размер и форма зубов в значительной мере определяются генетически. Если у родителей маленькие зубы — с высокой вероятностью они будут и у детей. Генетически обусловленная микродентия, как правило, затрагивает определённые зубы — чаще всего верхние боковые резцы и зубы мудрости.

Некоторые генетические синдромы сопровождаются микродентией как одним из проявлений: синдром Дауна, синдром Тёрнера, эктодермальная дисплазия. В этих случаях маленькие зубы сочетаются с другими системными изменениями.

Нарушения формирования зубов в период их закладки

Зубы формируются во внутриутробном периоде и в первые годы жизни. Любые неблагоприятные факторы в этот период могут нарушить нормальное развитие зубных зачатков и привести к формированию зубов меньшего размера. К таким факторам относятся тяжёлые инфекционные заболевания матери во время беременности, приём определённых лекарственных препаратов в период беременности, недоношенность и низкая масса тела при рождении, тяжёлые заболевания ребёнка в первые годы жизни с нарушением обмена веществ, дефицит питательных веществ в критические периоды формирования зубов.

Истирание зубов

Зубы, которые кажутся маленькими, не всегда таковыми являются от природы. Значительное истирание — стирание твёрдых тканей зуба — может привести к тому, что зубы становятся заметно короче. Это состояние называется патологической стираемостью.

Причины патологической стираемости: бруксизм (ночное скрежетание зубами), неправильный прикус с повышенной нагрузкой на отдельные зубы, кислотная эрозия эмали (частое употребление кислых напитков и продуктов, гастроэзофагеальный рефлюкс), профессиональные вредности. При стираемости зубы не просто уменьшаются в размере — снижается высота прикуса, нагрузка перераспределяется неправильно, что создаёт дополнительные проблемы.

«Десневая улыбка» как псевдомикродентия

Отдельно стоит упомянуть ситуацию, когда зубы на самом деле нормального размера, но визуально кажутся маленькими из-за избыточного количества видимой десны при улыбке. Это состояние называется «десневой улыбкой» или gummy smile. Причины могут быть разными: гиперплазия десны (избыточный рост десневой ткани, прикрывающей часть коронки зуба), укороченная верхняя губа, вертикальный тип роста верхней челюсти, гиперактивность мышцы, поднимающей верхнюю губу.

При десневой улыбке зубы не нуждаются в наращивании — нужна коррекция десны или губы. Это принципиально другой подход, и именно поэтому важна точная диагностика перед выбором метода лечения.

Причины маленьких зубов: основные варианты

  • Генетически обусловленная микродентия — один или несколько зубов изначально меньше нормы
  • Нарушение формирования зубных зачатков — неблагоприятные факторы в период беременности и раннего детства
  • Патологическая стираемость — зубы стёрлись из-за бруксизма, кислотной эрозии или неправильного прикуса
  • Относительная микродентия — зубы нормального размера, но челюсть слишком широкая для них
  • Десневая улыбка — зубы нормального размера, но скрыты избыточной десной

Чем опасны маленькие зубы помимо эстетики

Маленькие зубы — не только эстетическая проблема. В зависимости от причины и степени выраженности состояние может иметь функциональные последствия.

При локальной микродентии с промежутками между зубами — в тремах и диастемах накапливается налёт и остатки пищи, что повышает риск кариеса и заболеваний дёсен. Промежутки также нарушают нормальное распределение жевательной нагрузки.

При патологической стираемости снижение высоты прикуса приводит к перегрузке височно-нижнечелюстного сустава, хроническим болям в жевательных мышцах, головным болям и дисфункции сустава. Стёртые зубы более чувствительны к температурным раздражителям из-за истончения или полного отсутствия эмали.

При относительной микродентии с диастемами нарушается нормальная артикуляция при произношении отдельных звуков.

Наконец, выраженный психологический дискомфорт от внешнего вида улыбки — тоже реальное последствие, которое влияет на качество жизни и уверенность в себе.

Диагностика: что нужно оценить перед выбором метода коррекции

Прежде чем обсуждать методы исправления маленьких зубов, необходима точная диагностика. Она включает несколько компонентов.

Клинический осмотр позволяет оценить размер и форму зубов, состояние дёсен и их уровень, характер прикуса, наличие промежутков и их размер. Рентгенологическое исследование необходимо для оценки состояния корней, наличия скрытых патологий, а также для исключения ретинированных или сверхкомплектных зубов, которые могут влиять на положение и размер прорезавшихся.

Фотографический анализ улыбки — оценка пропорций зубов относительно друг друга, лица и губ. Это важная часть эстетического планирования: форма и размер зубов должны соответствовать индивидуальным параметрам лица пациента, а не просто быть «большими».

В ряде случаев необходимы диагностические слепки и загипсовка моделей в артикулятор для оценки прикуса и планирования восстановления высоты прикуса при стираемости. Подробнее о возможностях диагностики в клинике Апекс можно узнать на первичной консультации.

Методы коррекции маленьких зубов

Композитная реставрация

Прямая композитная реставрация — наиболее быстрый, доступный и минимально инвазивный способ увеличить размер зуба. Врач наносит на зуб светоотверждаемый композитный материал, послойно формируя нужную форму и размер прямо в полости рта. Процедура проводится за один визит, не требует препарирования зуба (или требует минимального) и полностью обратима при необходимости.

Композитная реставрация оптимальна при небольших дефектах формы и размера, при коррекции одного-двух зубов, при ограниченном бюджете. Ограничения: композит менее долговечен, чем керамика, со временем может изменить цвет и потребует полировки или замены. Срок службы — 5–7 лет при правильном уходе.

Виниры

Виниры — тонкие керамические пластины, которые фиксируются на переднюю поверхность зубов, — позволяют одновременно увеличить размер зубов, изменить их форму и добиться идеального цвета. Это наиболее предсказуемый эстетический результат при коррекции нескольких передних зубов.

Перед установкой виниров нередко проводится wax-up — диагностический макет, позволяющий пациенту и врачу согласовать желаемый результат до начала необратимых вмешательств. На основе wax-up изготавливается mock-up — временная накладка, которую примеряют прямо во рту без препарирования зубов.

Виниры показаны при коррекции нескольких передних зубов, когда важен предсказуемый долгосрочный эстетический результат. Ограничения: требуют минимального препарирования эмали, не применяются при глубоком прикусе и бруксизме без предварительного лечения этих состояний. Срок службы качественных керамических виниров — 10–15 лет и дольше.

Коронки

Коронки используются для коррекции размера и формы зубов в случаях, когда виниры недостаточны: при значительном разрушении зуба, при необходимости полного изменения формы, при коррекции зубов с уже запломбированными каналами. Коронки полностью перекрывают зуб со всех сторон и позволяют изменить его размер, форму и цвет в любых пределах.

При истинной микродентии, когда зуб очень маленький, перед установкой коронки может потребоваться наращивание объёма зуба с помощью культевой вкладки или штифта — для создания достаточной опоры для коронки.

Ортодонтическое лечение

При относительной микродентии, когда зубы нормального размера, но между ними образовались промежутки из-за несоответствия размеров зубов и челюсти, ортодонтическое лечение позволяет перераспределить промежутки и сконцентрировать их в нужных местах перед реставрацией. Например, если между передними зубами есть несколько маленьких промежутков — ортодонт может сдвинуть зубы таким образом, чтобы промежутки оказались в зонах, которые затем закрываются винирами или реставрациями.

Ортодонтическое лечение может также потребоваться при значительной разнице в размере зубов правой и левой половины зубного ряда — для создания симметричной основы перед реставрацией.

Хирургическая коррекция десны (гингивопластика)

При десневой улыбке и гиперплазии десны — когда зубы кажутся маленькими из-за избыточного количества десневой ткани, прикрывающей часть коронки — проводится гингивопластика. Это хирургическая операция по коррекции уровня и контура десны: врач иссекает избыточную ткань, обнажая нормальную часть коронки зуба.

Гингивопластика может проводиться скальпелем или лазером. Лазерная гингивопластика менее травматична, сопровождается меньшим кровотечением и более быстрым заживлением. После операции обнажённая часть коронки может оказаться достаточной для эстетически приемлемого результата без дополнительных реставраций — либо потребует лёгкой коррекции формы с помощью виниров или реставраций.

Восстановление высоты прикуса при стираемости

При патологической стираемости зубы не просто маленькие — они стёртые, а высота прикуса снижена. Лечение в этом случае значительно сложнее, чем просто «нарастить» зубы: необходимо восстановить правильную высоту прикуса и равномерно распределить нагрузку по всему зубному ряду.

Лечение начинается с диагностики причины стираемости и её устранения. При бруксизме изготавливается окклюзионная шина для ношения в ночное время — она защищает зубы от дальнейшего разрушения. Затем проводится поэтапное восстановление зубов — сначала временными конструкциями для проверки новой высоты прикуса и адаптации пациента, затем постоянными коронками или виниры на всех зубах, которые были стёрты.

Это одна из наиболее сложных и длительных ортопедических задач: восстановление зубного ряда после выраженной стираемости требует участия нескольких специалистов, большого количества визитов и значительных финансовых вложений.

Выбор метода коррекции в зависимости от причины

  • Локальная микродентия одного-двух зубов — композитная реставрация или винир
  • Микродентия нескольких передних зубов — виниры или коронки с предварительным wax-up
  • Относительная микродентия с промежутками — ортодонтия для перераспределения промежутков, затем реставрация
  • Десневая улыбка с нормальным размером зубов — гингивопластика, при необходимости — коррекция губы
  • Патологическая стираемость — устранение причины, окклюзионная шина, поэтапное восстановление высоты прикуса

Особый случай: зуб-шип верхнего бокового резца

Одна из наиболее распространённых форм локальной микродентии — аномально маленький верхний боковой резец конусовидной формы, так называемый зуб-шип или зуб-колышек. Это генетическая аномалия, при которой зуб прорезывается маленьким и заострённым вместо нормальной лопатообразной формы.

Зуб-шип создаёт заметный эстетический дефект в зоне улыбки и нередко сопровождается диастемой или промежутком с соседним клыком. Коррекция зависит от размера зуба и наличия достаточного пространства в зубном ряду.

Если пространство в норме — зуб восстанавливается композитной реставрацией или виниром непосредственно по имеющемуся корню. Если пространство недостаточно или избыточно — предварительно проводится ортодонтическое лечение для создания правильных условий, после чего выполняется реставрация. В некоторых случаях при очень малом размере корня рассматривается удаление зуба-шипа с последующей имплантацией — однако это решение принимается взвешенно, с учётом возраста пациента и состояния кости.

Планирование результата: почему нельзя просто «сделать зубы больше»

Пациенты нередко приходят на консультацию с конкретным запросом: «хочу зубы побольше». Это понятное желание, но правильная эстетическая реставрация — это не просто увеличение размера, а создание пропорций, гармоничных конкретному лицу.

Слишком большие зубы выглядят так же неестественно, как слишком маленькие. Форма, размер и соотношение зубов должны соответствовать форме лица, ширине улыбки, высоте и форме губ. Именно для этого перед сложными реставрациями проводится детальное эстетическое планирование с wax-up и mock-up: пациент видит результат до начала лечения и может участвовать в согласовании желаемого вида.

Хороший результат — это когда после лечения зубы не выглядят «сделанными», а человек просто выглядит лучше, чем прежде.

Часто задаваемые вопросы

Можно ли нарастить один маленький зуб за один визит?

Да, при небольшом дефекте формы и размера одного зуба прямая композитная реставрация выполняется за один визит. Врач наносит материал, формирует нужную форму, полирует — и зуб сразу выглядит иначе. Для нескольких зубов или при более сложных случаях потребуется несколько визитов и предварительное планирование.

Больно ли устанавливать виниры?

Препарирование под виниры проводится под местной анестезией и абсолютно безболезненно во время процедуры. После окончания анестезии возможна лёгкая чувствительность зубов в течение нескольких дней — это нормально. При minimal prep или no-prep винирах, где препарирование минимально или не требуется, дискомфорт ещё меньше.

Виниры или коронки — что лучше при маленьких зубах?

Виниры предпочтительнее при достаточном объёме тканей зуба и умеренном изменении формы: они менее инвазивны. Коронки показаны при значительном разрушении зуба, необходимости полного изменения формы или при наличии депульпированного зуба с большой реставрацией. Выбор всегда индивидуален и зависит от клинической ситуации.

Можно ли исправить маленькие зубы в любом возрасте?

Да, коррекция микродентии возможна в любом взрослом возрасте. Единственное ограничение — детям и подросткам, у которых ещё не завершилось формирование зубочелюстной системы, постоянные реставрации не устанавливаются. Для них возможна временная коррекция до завершения роста.

Как долго прослужат виниры на маленьких зубах?

Качественные керамические виниры при правильном уходе служат 10–15 лет и дольше. Ключевые условия долговечности: регулярная профессиональная гигиена, отказ от привычки грызть твёрдые предметы, ношение защитной капы при бруксизме.

Что будет, если не лечить маленькие зубы?

Зависит от причины. При генетической микродентии без стираемости и без промежутков — функциональных последствий может не быть, только эстетические. При наличии промежутков — повышенный риск кариеса и заболеваний дёсен. При патологической стираемости без лечения процесс разрушения зубов продолжается, высота прикуса снижается всё больше, нарастают функциональные проблемы с суставом и мышцами.

Коррекция маленьких зубов в клинике Апекс в Красноярске

В клинике Апекс на ул. Бограда, 101 коррекция формы и размера зубов проводится после комплексной диагностики с эстетическим планированием. Выбор метода — композитная реставрация, виниры, коронки или хирургическая коррекция десны — определяется индивидуально с учётом причины состояния, объёма дефекта и пожеланий пациента.

Перед сложными реставрациями проводится wax-up и mock-up — пациент видит предполагаемый результат ещё до начала лечения. Подробнее о возможностях диагностики и планирования на странице диагностики в клинике Апекс. Записаться на консультацию можно по телефону или через форму на сайте.

Похожие статьи
Почему после удаления зуба нельзя курить
06 апреля 2026
Почему после удаления зуба нельзя курить
Зуб после лечения каналов потемнел: почему и что делать
05 апреля 2026
Зуб после лечения каналов потемнел: почему и что делать
Домашние ирригаторы: маркетинг или реальная польза для десен
09 января 2026
Домашние ирригаторы: маркетинг или реальная польза для десен
Почему с возрастом меняется прикус и что с этим делать
06 января 2026
Почему с возрастом меняется прикус и что с этим делать
Нужна ли чистка перед отбеливанием и почему это обязательный этап
22 декабря 2025
Нужна ли чистка перед отбеливанием и почему это обязательный этап
Почему зубы желтеют снова через полгода после отбеливания: 7 причин
21 декабря 2025
Почему зубы желтеют снова через полгода после отбеливания: 7 причин
Почему темнеет десна возле коронки и как это предотвратить
09 декабря 2025
Почему темнеет десна возле коронки и как это предотвратить
Почему пожелтели зубы?
08 ноября 2025
Почему пожелтели зубы?
Что лучше: обычная зубная щетка или электрическая?
10 октября 2025
Что лучше: обычная зубная щетка или электрическая?
Зубная коронка треснула: что делать и как избежать повторения
29 сентября 2025
Зубная коронка треснула: что делать и как избежать повторения
Можно ли на кривые зубы ставить виниры?
20 сентября 2025
Можно ли на кривые зубы ставить виниры?
Что лучше выбрать – чистку или отбеливание зубов?
08 сентября 2025
Что лучше выбрать – чистку или отбеливание зубов?
Правильная чистка зубов
01 сентября 2025
Правильная чистка зубов
Стоматология в Красноярске: делаем правильный выбор
26 октября 2021
Стоматология в Красноярске: делаем правильный выбор
Что такое профессиональная гигиена полости рта
18 октября 2021
Что такое профессиональная гигиена полости рта
Расскажем, что такое профессиональная гигиена зубов, как обеспечить правильный уход за зубами. Вспомним и о рекомендациях врачей, соблюдение которых позволит снизить риски развития заболеваний.
Виды виниров для зубов
01 октября 2021
Виды виниров для зубов
Врачи поделились информацией о том, что такое виниры, каковы противопоказания к их использованию, а также какие виды виниров предпочтительнее выбирать при тех или иных дефектах зубов.
Отбеливание зубов: виды и цены
20 сентября 2021
Отбеливание зубов: виды и цены
Врачи стоматологической клиники «Апекс» поделились информацией об отбеливании зубов, дабы вы имели чёткое представление о том, как добиться стойкого результата.
Виниры для зубов: как выбрать?
14 июля 2021
Виниры для зубов: как выбрать?
Что делать, если несовершенства улыбки не дают вам покоя? Вроде бы ничего страшного: небольшая щель между зубами, сильная пигментация, сколотый край.
Отбеливание зубов в Красноярске
15 июня 2021
Виды отбеливания зубов и цены в Красноярске
Существует много способов быстро и безопасно отбелить зубы —‌ как в кабинете стоматолога, так и в домашних условиях. Самым оптимальным способом сегодня является отбеливание «Зум 4», который даёт отличный и долговременный эффект.
Как правильно чистить зубы
19 апреля 2021
Как правильно чистить зубы
Статья будет посвящена теме правильного ухода за зубами. Важность этого вопроса трудно переоценить, и поэтому мы не перестаём напоминать вам о том, как правильно чистить зубы дома.
air flow, ультразвуковая чистка зубов
23 марта 2020
Что лучше: чистка зубов Air Flow или ультразвуком
Обсудим оба варианта профессиональной чистки зубов с позиции рассмотрения их положительных и отрицательных сторон.
безопасное отбеливание зубов, отбелить зубы
10 февраля 2020
Какое отбеливание зубов лучше: рассматриваем варианты
Расскажем об основных видах отбеливания зубов, а также о достоинствах и недостатках каждого из них. И пусть ваша белоснежная улыбка радует вас изо дня в день!
стоматологическая клиника, врач стоматолог
09 декабря 2019
О зубных клиниках Красноярска с доступными ценами
Пришло время лечить зубы, а вы опасаетесь непредвиденных расходов? Сегодня мы расскажем, где в Красноярске можно обратиться к стоматологу выгодно.
чистка зубов, air flow
25 октября 2019
О профессиональной чистке зубов в Красноярске
О профессиональной чистке зубов должен знать каждый, поэтому не проходите мимо полезной информации!
отбеливание зубов, безопасное отбеливание зубов
15 октября 2019
Об отбеливании зубов в Красноярске
Как сделать отбеливание зубов эффективным и безопасным? Есть ли противопоказания к этой процедуре? Обо всем узнаете здесь и сейчас!
чистка зубов в красноярске
10 июля 2019
Чистка зубов в Красноярске — залог не только красивой, но и здоровой улыбки
А знаете ли вы, для каких целей можно использовать профессиональную чистку зубов? Мы расскажем не об эстетической стороне вопроса.
отбеливание зубов
13 июня 2019
Современные подходы к отбеливанию зубов в Красноярске
Хотите отбелить зубы — но не знаете, какой метод лучше выбрать? А может быть, боитесь нанести зубам вред? Что ж, тогда эта статья специально для вас!
лечение зубов в красноярске
03 июня 2019
Немного о лечении зубов в Красноярске
Залог успешного лечения зубов — грамотный подход к выбору стоматологической клиники и лечащего врача!
чистка зубов цены
13 мая 2019
Только ли в эстетических целях применяется ультразвуковая чистка зубов?
Затронем тему не только ультразвуковой чистки зубов, но и профессиональной чистки зубов в целом. Поговорим об особенностях и расскажем о самых выгодных предложениях.
стоматология красноярск недорого
05 февраля 2019
Плюсы и минусы записи в стоматологию по Интернету
Выбрать хорошую клинику для лечения зубов — уже половина пути к созданию безупречной улыбки! Узнайте, как сделать выбор и о чем говорит возможность записи в стоматологию по Интернету.
зубной камень как избавиться
23 октября 2018
Как избавиться от зубного камня самостоятельно?
Лечение, которое возможно только в клинике.
семейная стоматология красноярск
12 сентября 2018
Настоящая семейная стоматология в Красноярске
Ждем вас в гости всей семьей!
зубной камень на зубах
21 августа 2018
Как убрать зубной камень?
Здоровые зубы — это модно!
Для эмали зубов вреден чай в пакетиках
09 апреля 2018
Для эмали зубов вреден чай в пакетиках
Профессор Майкл Уайт (университет Сант-Луис, Вашингтон) во время проведения исследований чая и его влияния на здоровье человека, обнаружил, что чайные листья обладают способностью накапливать фтор из воды и земли.